One of the most exciting aspects of orthodontics is the change that transpires through orthodontic treatment. Dr. Tony Skanchy is committed to bringing the best smile out of every individual that is treated in our office. Below are examples and explanations of cases that Dr. Skanchy has personally treated in our office.

An underbite, also known as a class III malocclusion, occurs when the lower teeth extend forward beyond the upper teeth when the patient is biting on the back teeth.

In some cases, extractions are needed to create sufficient space to align the teeth properly or to help correct certain bite issues.

In some cases, extractions are needed to create sufficient space to align the teeth properly or to help correct certain bite issues.

Expanders are devices used in orthodontics to widen the upper jaw (maxilla) to address certain bite issues and/or to create more space in the mouth for the teeth. In this patient’s case, there was not enough room in the mouth for the upper canines. An expander was used to make the jaw bigger, allowing us to align the teeth properly.

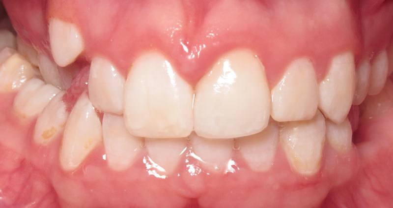
In this case, the patient showed excess gum tissue when smiling. To treat this, we were able to move the front teeth up and reshape the gum tissue to lessen the amount of gum tissue showing when the patient smiles.

Peg lateral incisors (2nd tooth over) are a dental anomaly where the teeth develop smaller and more conical in shape than normal. During orthodontic treatment, we will work with the patient’s dentist to create the proper space around these teeth and the dentist can use composite to create the ideal shape and size tooth.

One of the most common teeth to be missing congenitally is the lateral incisor. There are two approaches to addressing this issue. One is to open space for future implants to replace the missing tooth. The other option is to close all spaces by moving the back teeth forward. In this specific case, spaces were made to allow for future implants once the patient reaches the proper age.

An edge-to-edge bite is a type of dental malocclusion where the upper and lower front teeth meet directly at their biting edges which will often lead to tooth wear. In a normal bite, the upper front teeth slightly overlap the lower front teeth.

A “black triangle” refers to the triangular-shaped gap that can appear between the contact of the tooth and the gum tissue. This can occur due to the shape of the teeth being more triangular than normal or due to gum tissue recession. This can be a cosmetic concern as it can negatively affect the appearance of the smile. During orthodontic treatment, we can reshape the contact area adjacent to the black triangle and close the black triangle space, resulting in a corrected contact area.
Below are some additional cases treated by Dr. Tony Skanchy.










































































